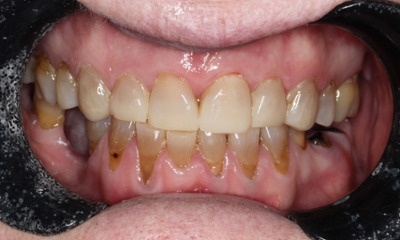
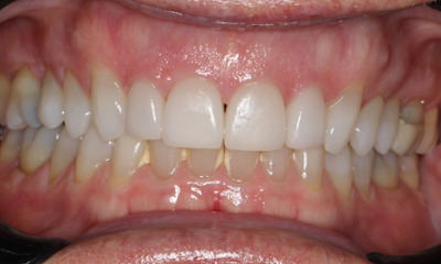
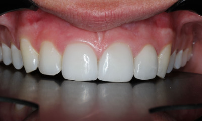
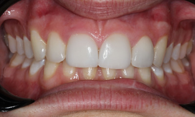
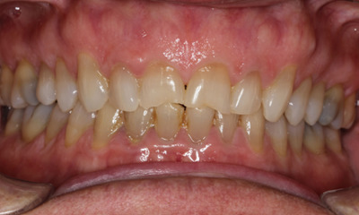
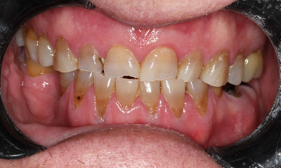
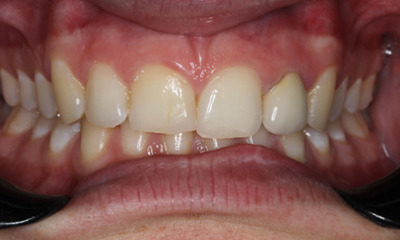
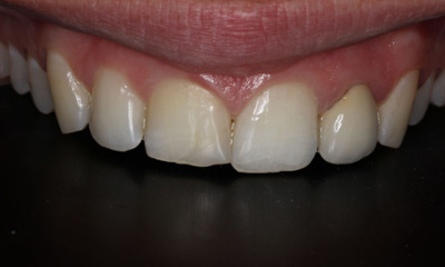
We invite you to take a look at our smile gallery.
*The images shown in our Smile Gallery are examples of dental treatments provided at our practice. Individual results will vary depending on each patient's dental needs and circumstances.
Smile Gallery Categories