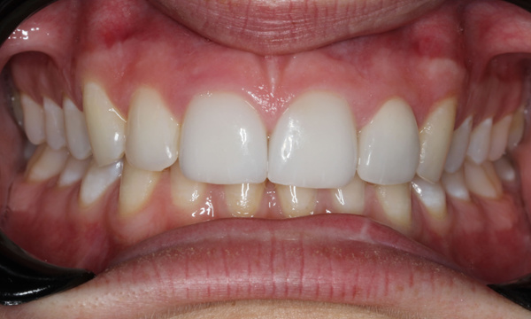
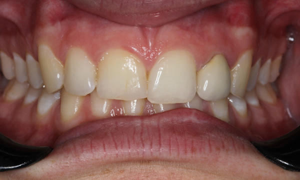
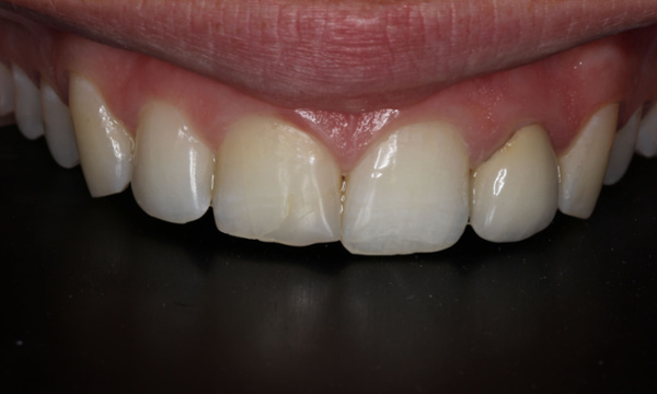
Crown and Veneers

This patient received a combination of crowns and veneers to improve the appearance of their front teeth, including colour and shape. Treatment is tailored to each individual, and outcomes can vary. A consultation is required to determine suitability.

Are You Ready to Book Your Next Dental Visit?