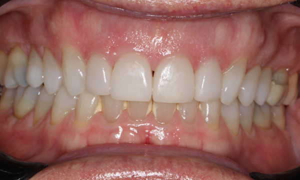
This patient received veneers to address discolouration, wear, and uneven edges, improving the overall balance and appearance of their smile. Results vary between individuals, and a consultation is required to determine suitability.
This patient received veneers to address discolouration, wear, and uneven edges, improving the overall balance and appearance of their smile. Results vary between individuals, and a consultation is required to determine suitability.