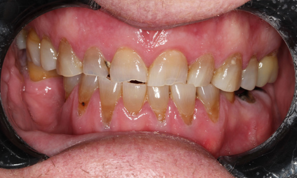
This patient received composite bonding to help restore worn teeth and improve their appearance. Treatment outcomes vary depending on individual clinical needs. A consultation is required to determine suitability.
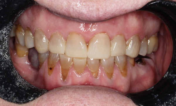
This patient received composite bonding to help restore worn teeth and improve their appearance. Treatment outcomes vary depending on individual clinical needs. A consultation is required to determine suitability.