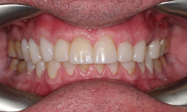
Composite bonding was used to rebuild worn and damaged areas of the teeth and enhance their overall appearance. Treatment outcomes vary between individuals, and a personalised consultation is required to determine suitability.
Composite bonding was used to rebuild worn and damaged areas of the teeth and enhance their overall appearance. Treatment outcomes vary between individuals, and a personalised consultation is required to determine suitability.